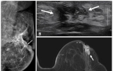
[나이스데이] 국내 연구진이 수술 전 MRI(자기공명영상)가 50세 이하 유방암 환자의 재발 예방에 효과적이라는 사실을 규명했다. 특히 예후가 나쁘고 재발률이 높은 '호르몬 수용체 음성 유방암'은 재발 위험이 60% 이상 낮아지는 것으로 나타났다. 이는 젊은 유방암 환자의 맞춤형 치료 가능성을 높이고, 유방 MRI 기반의 정교한 치료 계획을 수립하는 중요한 가이드라인이 될 것으로 기대된다. 서울대병원은 하수민·연희라 영상의학과 교수, 김홍규 유방내분비외과 교수팀이 2011년부터 2017년까지 수술을 받은 50세 미만…
건강 뉴시스2025. 11.05[나이스데이] 올해 3분기 누적 보건산업 수출액이 지난해 같은 기간보다 12.5% 증가한 208억1000만 달러를 기록하며 첫 200억 달러를 돌파했다. 화장품, 의약품이 전년보다 15% 이상 증가하며 수출 호조를 이끌었다. 한국보건산업진흥원은 이러한 내용이 담긴 3분기 누적 의약품·의료기기·화장품 등 보건산업 수출 실적을 5일 발표했다. 올해 3분기 누적 보건산업 수출액은 208억1000만 달러로 지난해 3분기보다 12.5% 늘었다. 미국·유럽에서 바이오의약품 수출이 큰 폭으로 증가했으며 글로벌 시장에서 국내 기초화장용…
경제 뉴시스2025. 11.05[나이스데이] 전국민주노동조합총연맹(민주노총), 한국노동조합총연맹(한국노총) 등 양대노총이 더불어민주당과 이재명 정부를 향해 '65세 법정 정년연장'을 공약대로 올해 안에 국회에서 통과시킬 것을 촉구했다. 양대노총은 5일 오전 서울 여의도 국회에서 '65세 법정 정년연장 연내 입법 촉구' 기자회견을 개최하고 이 같이 요구했다. 이날 기자회견에서 민주노총과 한국노총은 "65세 법정 정년연장 공약을 약속대로 이행해야 한다"고 강조했다. 앞서 민주당은 22대 총선공약으로 국민연금 수급개시연령 상향과 연계한 65세 단…
사회 뉴시스2025. 11.05[나이스데이] 프로축구 K리그1 FC서울이 안방에서 중국 프로축구 슈퍼리그 청두 룽청과 무승부에 그쳤다. 서울은 4일 서울월드컵경기장에서 열린 청두와의 2025~2026시즌 아시아축구연맹(AFC) 챔피언스리그 엘리트(ACLE) 리그 스테이지 4차전에서 홈 경기에서 0-0으로 비겼다. 승점 1을 나눠 가진 서울(승점 5·1승 2무 1패)은 7위, 청두(승점 4·1승 1무 2패)는 10위에 자리했다. 김기동 감독이 이끄는 서울은 지난 시즌 K리그1 4위를 달성해 2020년 이후 5년 만에 ACLE 본선에 진출했다. …
스포츠 뉴시스2025. 11.05[나이스데이] 미국 프로축구 메이저리그사커(MLS) 로스앤젤레스FC(LAFC)의 '슈퍼 스타' 손흥민의 올해의 신인상 수상이 불발됐다. 5일(한국 시간) MLS 사무국은 2025시즌 신인상으로 샌디에이고FC의 안데르스 드레이어(덴마크)가 선정됐다고 밝혔다. 드레이어는 구단과 선수단, 미디어 등이 참여한 투표에서 74%의 높은 지지를 받아 6%에 그친 손흥민을 제쳤다. 올 시즌을 앞두고 안더레흐트(벨기에)에서 샌디에이고로 이적해 MLS 무대에 데뷔한 드레이어는 정규리그 34경기에서 공격포인트 38개(19골 19도움)을…
스포츠 뉴시스2025. 11.05[나이스데이] 예능 '저스트 메이크업'이 입소문을 타면서 지난달 쿠팡플레이 이용자수가 11% 급증한 것으로 나타났다. 4일 아이지에이웍스 모바일인덱스에 따르면 지난달 OTT 월간활성이용자수(MAU) 증가폭이 가장 컸던 건 쿠팡플레이로 전월 대비 10.67% 증가했다. MAU 순위는 넷플릭스(1504만3143명), 쿠팡플레이(795만5477명), 티빙(764만9491명), 웨이브(424만7680명), 디즈니플러스(261만4385명) 순이다. 독보적인 1위 넷플릭스(5.02%)에 이어 쿠팡플레이와 티빙(4.49%)이 2위 …
연예 뉴시스2025. 11.05[나이스데이] 흉포한 외모에 최첨단 무기를 가진 외계인과 다리가 잘린 채 수다스러운 합성인간 그리고 외계인이 합성인간을 업고 칼부림하는 모습은 분명 일정 수준 이상의 시각적 충격을 주지만, 영화 '프레데터:죽음의 땅'(11월5일 공개)은 사실 모범생에 가깝다. 외계 전투민족 프레데터의 '덱'과 지구에서 온 합성인간 '테아'의 외형에 일단 익숙해지기 시작하면 정석에 가까운 캐릭터 조형과 플롯 구성이 치고 들어온다. 누군가는 이 안정감에 편안을 느끼겠지만, 또 다른 누군가는 이 상투성이 따분할 수 있다. 다만 프레데터라는 프랜차이즈에 …
연예 뉴시스2025. 11.05[나이스데이]완도군은 미래 수산업을 이끌 인재를 양성하고자 12월 19일까지 2026학년도 한국수산벤처대학 수산 벤처 과정 제20기 신입생 50명을 모집한다. 교육은 2026년 3월부터 12월까지 조선대학교 해양생물연구교육센터에서 10개월간 진행되며, 수산 정책 관련 실무 이론, 해양 수산 컨설팅(수산 경영 및 마케팅, 창업, 시제품 제조), 국내·외 현장 학습 등 벤처 인력 육성을 위한 맞춤형 교육으로 진행된다. 수산 벤처 과정을 수료한 후에는 전략적 경영 능력과 리더십, 글로벌 수산업 동향 등을 심화적으로 학습할 수 있는 ‘…
완도 주용규 기자2025. 11.05[나이스데이]나주·무안·목포·광주에서 농촌 마을로 입주한 5가족의 한 달 영암살이가 한창이다. 지난달 20일부터 이 가족들이 영암살이를 하고 있는 곳은, 군서면 모정마을에 조성된 단독주택 ‘영암살래’이다. 이 주택은 영암군이 ‘영암에서 살아볼래’ 사업으로 건립해 지난달 2일 개장식을 마친 곳이다. 도시민 가족이 자기 거주지와 영암 농촌 마을, 두 지역에서 살아볼 수 있도록 주택을 임대해 주고, 다양한 지역 공동체·문화 프로그램도 제공해 지역 정착의 계기를 마련해 주는 사업을 영암군은 영암살래를 중심으로 진행하고 있다. …
영암 이영욱 기자2025. 11.05[나이스데이]‘광주김치축제’가 역대 최고 매출을 달성하며 지역경제 활력을 불어넣는 ‘민생회복 축제’로 도약했다. 광주광역시(시장 강기정)는 지난 10월31일부터 11월2일까지 사흘 동안 광주시청 일원에서 개최한 ‘제32회 광주김치축제’에 5만7000여명의 방문객이 몰리고, 10억3800만원의 매출을 달성했다고 4일 밝혔다. 올해 축제는 ‘우주최광(光) 김치파티’를 주제로 열렸으며, 시청 앞 도로를 ‘차 없는 거리’로 조성해 김치마켓과 농산물마켓을 전면에 배치하는 등 방문객 동선을 효율적으로 구성했다. 이에 방문객과 입점업체 모두…
광주 이자형 기자2025. 11.05[나이스데이]광주광역시는 7일 시청에서 지역 장애인복지 정보를 한눈에 볼 수 있는 ‘2025 광주 장애인복지 통합박람회’를 개최한다. ‘모두의 돌봄! 모두의 JOB! 모두의 건강!’을 주제로 한 이번 박람회는 장애인 복지·일자리·건강·체육·교육 서비스 등 장애인들이 일상생활을 하는데 필요한 정보를 제공한다. 이 행사는 광주시가 주최하고 광주장애인종합지원센터와 광주장애인직업재활시설협회가 공동주관했으며, 광주장애인체육회가 협력했다. 특히 올해는 기존의 ‘장애인 진로·직업 통합박람회’, ‘사회서비스 통합박람회(박람회 내 장애인복지 …
광주 이자형 기자2025. 11.05[나이스데이]강진군이 일본 농산물 수입·가공 기업을 초청해 강진쌀의 해외 수출 확대를 위한 본격적인 움직임에 나섰다. 지난달 29일 강진군 통합RPC(강진군농협쌀조합공동사업법인)에서 ㈜토요츠 식량, ㈜세비아 관계자들과 강진군 통합RPC 임직원 등이 참석한 가운데 ‘강진쌀 수출 협력 간담회’가 열렸다. 이번 간담회에는 강진원 강진군수가 참석해 일본 기업 관계자들을 환영하고, 강진쌀의 우수한 품질과 수출 경쟁력을 강조하여 상호 협력을 당부했다. 간담회는 강진쌀의 현장 품질을 소개하고, 앞으로 수출을 확대하고 농산물 교류를 넓혀…
강진 이영욱 기자2025. 11.05[나이스데이]강진군은 최근 기후에너지환경부가 지정한 ‘2025년 하수도정비 중점관리지역’에 ‘강진읍 강진배수분구’가 최종 선정됐다고 4일 밝혔다. 기후에너지환경부는 올해 23개 지자체 32개 지역의 신청을 받아 서류검토 및 현장조사를 거친 뒤, 침수피해 정도와 시급성 등을 종합적으로 평가해 선정위원회 심의를 통해 17개 지역을 선정했다. 이 중 ‘강진읍 강진배수구분구’가 포함됐다. 강진군은 2021년, 2022년, 2024년 집중호우로 반복적인 침수 피해를 입었으며, 이로 인해 재산 피해와 함께 교통 마비 등 큰 어려움을 겪…
강진 이영욱 기자2025. 11.05[나이스데이]강진군은 지난 10월 25일 토요일부터 11월 2일 일요일까지 ‘제10회 강진만 춤추는 갈대축제’ 개최를 기념해 추진한 공공배달앱 먹깨비 할인이벤트가 성공적으로 종료됐다고 밝혔다. 이벤트가 진행된 9일간 공공배달앱 먹깨비 앱을 통해 집계된 주문 수는 7,198건과 2억 7백여만 원의 매출을 기록했으며, 전년과 대비하여 주문수와 매출액 각각 36%, 49%가 증가했다. 강진군에서는 축제 기간 내내 지급되는 3천 원 할인쿠폰과 연초부터 추진 중인 ‘강진군에서는 누구나 주말 3천 원 할인쿠폰’, 농림축산식품부에서 추진하…
강진 이영욱 기자2025. 11.05[나이스데이]강진군 성전면 월남마을에 있는 이한영차문화원이 지난달 25일 월출산 자락에서 ‘이음의 날’ 행사를 열었다. 이번 행사는 강진의 대표 차문화 프로그램으로 자리 잡은 이가월기(월남마을 걷기), 다독다독(책과 차의 만남), 제다전문가과정, 월출산차문화전승공동체 등 한 해 동안 이어온 다양한 활동의 참여자와 지역민들이 함께하는 화합과 나눔의 자리로 마련됐다. ‘이음의 날’은 차를 매개로 사람과 사람, 전통과 현재, 지역과 예술을 잇는 의미를 담은 행사다. 이날 참가자들은 월출산의 자연 속에서 차를 나누며 강진의 차문화…
강진 이영욱 기자2025. 11.05전남도-한국산업은행, 신재생에너지·첨단전략산업 육성 맞손
함평군, 캄보디아 유통업체 SREYMOM과 30만 불 수출 협약 체결
광주광역시교육청, 광산고등학교 신축공사 ‘첫삽’
여수시의회 문화관광특위, 지리산 풍경길 견학 통해 관광도로 경쟁력 강화 모색
무안군, 노인장기요양보험법 제17주년 기념식 개최
청소년의 목소리를 담는다... 나주시의회, 아동․청소년 건강권 보장 조례 논의
전남도, 국회서 광양만권 이차전지 특화단지 유치 논의
전남도-SK그룹, 글로벌 AI 데이터센터 협력 본격화
신안군, 청소년 학습용 노트북 27대 지원… ‘디지털 격차 해소’
전남교육청, 담당자 연수 얼어 행정업무 경감 지원
전남도-한국산업은행, 신재생에너지·첨단전략산업 육성 맞손
함평군, 캄보디아 유통업체 SREYMOM과 30만 불 수출 협약 체결
광주광역시교육청, 광산고등학교 신축공사 ‘첫삽’
신안군, 청소년 학습용 노트북 27대 지원… ‘디지털 격차 해소’
광산구장애인복지관, 연말 맞이 온정 손길 이어져
NH투자증권·목포MBC 연말 맞아 무안군 이웃사랑 물품 기탁
무안군, 2025년 음식문화개선 업무 ‘최우수’ 기관 선정
무안군, 2025년 4분기 외국인주민 군정 모니터링단 간담회 개최
무안군 남악청소년문화의집 청소년 방과후아카데미 '해피투게더 스포츠 동아리 활동' 성료
무안군, 전국민 마음투자 지원사업 2년 연속 우수지자체 선정