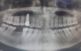
[나이스데이] 최근 '수면 임플란트'를 앞세워 홍보하는 치과가 늘어난 가운데 치과의사단체가 용어 오인이 부른 안전 불감증을 경고했다. 치과 임플란트에서 사용하는 '의식하진정법'은 위 또는 대장내시경 검사를 받을 때 선택할 수 있는 수면 마취와는 다르다는 것이 대한치과의사협회의 설명이다. '의힉하진정법'은 자발적 호흡이 가능한 정도로, 의학적 의미의 수면과는 엄밀히 구분된다는 것이다. 29일 의사협회 의료광고심의위원회에 따르면 수 년 전 이미 '수면 임플란트'라는 표현이 환자에게 시술의 위험성을 간과하게 하고 치료 효과를 오인…
건강 뉴시스2026. 01.29[나이스데이] 정부가 미혼부 자녀 등 태어났지만 출생신고가 되지 않은 아동들을 지원하기 위해 제도적 기반을 마련했다. 보건복지부, 법무부, 행정안전부는 출생 미등록 아동이 행정 절차상의 이유로 복지 혜택에서 소외되지 않도록 부처 간 협력을 강화하고 제도적 기반을 마련해 지원하기로 했다고 29일 밝혔다. 이번 관계부처 협력 방안은 최근 미혼부 자녀의 출생신고가 친자 확인 등 법적 절차로 인해 지연되면서 출산장려금을 수급하지 못한 사례를 계기로 마련됐다. 가족관계등록법상 혼외 자녀의 출생신고는 어머니가 하게 돼 있어 미…
정부 뉴시스2026. 01.29[나이스데이] 우리나라 국민들이 비급여 진료에 사용한 비용이 2조원을 넘는 것으로 나타났다. 의과 분야 도수치료와 체외충격파 치료 등이 다수 이용됐다. 보건복지부와 국민건강보험공단은 29일 2025년도 상반기 비급여 보고제도 자료 분석 결과를 공개했다. 비급여 보고제도는 비급여의 현황을 파악하고 국민의 비급여 정보에 대한 알 권리 및 의료선택권을 보장하기 위해 의료기관이 비급여 진료내역 등을 보고하는 제도다. 2025년 상반기 비급여 보고자료 분석 결과 전체 의료기관의 2025년 3월분 비급여 진료비 규모는 총 …
사회 뉴시스2026. 01.29[나이스데이] 한국 여자 컬링 대표팀 경기도청이 2026 밀라노·코르티나담페초 동계올림픽에서 한국 컬링 사상 두 번째 메달에 도전장을 던진다. 스킵 김은지, 서드 김민지, 세컨드 김수지, 리드 설예은, 핍스 설예지로 이뤄진 경기도청은 팀워크로 똘똘 뭉쳐 메달을 목표로 달린다. 경기도청은 2014년 소치 동계올림픽에서 한국 컬링 사상 최초로 올림픽 출전을 이룬 팀이다. 당시 경기도청은 '컬스데이'로 인기몰이를 하면서 한국에 컬링을 알렸다. 당시 멤버 중에서는 스킵 김은지만 남아있다. 경기도청은 '5G'라는…
스포츠 뉴시스2026. 01.29[나이스데이] 2025시즌 한국여자프로골프(KLPGA) 위메이드 대상의 주인공 유현조가 새 시즌엔 더 높은 곳을 바라보고 있다. 유현조는 최근 아랍에미리트 두바이로 전지훈련을 떠나 2026시즌 준비에 박차를 가하고 있다. 29일 KLPGA에 따르면 유현조는 "지난 시즌 대상 수상에 가장 크게 기여한 체력과 쇼트게임을 한층 더 강화하기 위해서 집중적으로 훈련하고 있다"고 준비 상황을 밝혔다. 그는 "특히 올해는 KLPGA 투어뿐만 아니라 해외 대회도 출전할 계획이어서 체력이 더 중요할 것 같다"고 강조했다. 올…
스포츠 뉴시스2026. 01.29[나이스데이] 올해 전국 50여개 사찰이 사회적 약자와 문화소외계층, 청년을 위한 맞춤형 템플스테이를 대폭 확대 운영한다. 한국불교문화사업단은 2026년 사업 방향을 발표하며, 사회적 약자와 문화소외계층을 위한 ‘나눔 템플스테이’ 대상을 1만 명 규모로 확대하고, 2030세대의 심리적 부담 완화를 돕는 ‘청춘 템플스테이’를 7~8월에 집중 운영할 계획이라고 28일 밝혔다. '나눔 템플스테이'는 전국 50여 개 사찰이 참여해 저소득층, 장애인, 한부모 가정, 이주노동자, 다문화 가정, 공상 경찰, 돌봄 인력 등 사회적 약자…
문화 뉴시스2026. 01.29[나이스데이] "사진기자는 현장에 갈 때마다 수백 장의 사진을 찍는다. 어떤 사진이 지금 이 현장을 가장 잘 전달할 수 있을지 정답을 찾을 때까지 구도와 렌즈를 쉴 새 없이 바꿔가며 셔터를 누른다. 그중에 신문에 게재되는 건 단 한 장뿐. 선택된 사진 'A컷'만 신문에 실리지만, 신문에 게재되지 않은 'B컷'들에도 많은 이야기가 담겨 있다." 사진 한 장은 순간을 붙잡지만, 그 순간에 이르기까지의 시간은 좀처럼 드러나지 않는다. 사진기자 오종찬의 'Oh!컷'은 셔터 뒤에 숨은 고민과 기록을 따라가며, 우리가 지나쳐온 현장을 새…
문화 뉴시스2026. 01.29[나이스데이] 최대 8일 간 이어질 수 있는 설 연휴가 보름 앞으로 다가왔다. 긴 연휴 동안 영화 한 편 안 보면 섭섭하다. 아무리 한국영화가 어려운 시기를 보내고 있다고 해도 이런 대목을 놓칠 순 없다. 올해도 설 연휴 가족 단위 관객을 겨냥한 한국영화 3편이 준비 중이다. 사극·첩보액션·드라마 장르로 명확한 구분이 있어 취향에 따라 고를 수 있고, 유해진·조인성·박정민·최우식 등 스타 배우도 볼 수 있다. 먼저 나서는 건 유해진·박지훈·유지태·전미도 등이 출연한 '왕과 사는 남자'다. 다음 달 4일 개봉하는 이 작품은 …
연예 뉴시스2026. 01.29[나이스데이] 배우 배두나가 '제76회 베를린국제영화제' 심사를 맡는다. 28일(현지시간) 베를린국제영화제에 따르면, 배두나는 내달 12일 독일 베를린에서 개막하는 이 영화제에 심사위원으로 나선다. 심사위원장은 독일 감독 빔 벤더스다. 배두나 외 네팔 민 바하두르 밤 감독, 미국 레이날도 마커스 그린 감독, 일본 히카리 감독 겸 프로듀서 등이 심사위원단에 이름을 올렸다. 영화제 측은 배두나에 대해 "대한민국을 대표하는 배우로 워쇼스키 자매 감독의 '클라우드 아틀라스'와 '주피터 어센딩', 넷플릭스 드라마 '…
연예 뉴시스2026. 01.29[나이스데이]전라남도 나주시가 아동과 가족을 위한 돌봄, 육아, 독서, 생활 서비스를 한곳에 담은 생활밀착형 복합시설 ‘빛가람 꿈자람센터’를 조성하고 본격적인 운영에 들어갈 전망이다. 나주시는 지역 주민의 일상과 밀접한 복지 수요에 대응하기 위해 조성한 ‘빛가람 꿈자람센터’를 오는 2월 6일 개관하고 단계적으로 시설 운영을 시작한다고 29일 밝혔다. 빛가람 꿈자람센터는 어린이도서관과 다함께돌봄센터 4호점을 비롯해 육아지원센터(장난감도서관, 놀이체험실), 로컬푸드직매장을 포함한 복합시설로 지상 2층, 지하 1층, 건축면적 2880…
나주 이영욱 기자2026. 01.29[나이스데이]전라남도 나주시가 아프리카돼지열병(ASF)과 고병원성 조류인플루엔자(AI) 확산을 사전에 차단하기 위해 양돈농가와 가금농가를 대상으로 선제적 방역과 현장 점검을 강화하고 있다. 나주시는 최근 인근 지역에서 아프리카돼지열병이 발생함에 따라 관내 유입 차단을 위해 긴급 예찰과 집중 소독 등 강화된 방역 조치를 추진하고 있다고 29일 밝혔다. 시는 관내 양돈농가 87호, 17만 2천두를 대상으로 정밀 예찰과 소독을 실시하고 있으며 특히 노안면 현애원 일대 양돈 밀집단지(26호, 2만4천두)를 중점 관리지역으로 지정해 방역…
나주 이영욱 기자2026. 01.29[나이스데이]전라남도 나주시가 주민 공동체 활성화를 위해 이창 8통 마을회관 리모델링을 완료하고 주민 소통과 교류를 위한 생활 밀착형 공간을 새롭게 조성했다. 나주시는 지난 28일 이창동 취약지역 생활여건 개조사업의 일환으로 추진한 이창 8통 마을회관 리모델링 완료에 따른 현장 방문 행사를 개최했다고 29일 밝혔다. 이창동 취약지역 생활여건 개조사업은 취약지역 주민의 기본적인 생활 수준을 보장하기 위해 안전과 위생 등 생활 인프라 확충, 주거환경 개선, 주민 역량 강화 등을 지원하는 사업으로 지난 2023년 공모에 선정돼 오는 …
나주 이영욱 기자2026. 01.29[나이스데이]지난 1월 28일 대통령 직속 자문기구인 ‘농어업·농어촌 특별위원회’의 김호 위원장과 문승국 위원(한국해양수산신지식인중앙연합회장) 등이 완도군의 전복 양식장을 찾았다. 방문은 지난 27일 전남 무안에서 열린 농특위 주최 ‘농어업 정책 대전환을 위한 전라남도 타운홀 미팅’의 일환으로 이뤄졌다. 신우철 완도군수는 농특위 위원장 및 위원들과 완도읍 망남리의 전복 양식장을 찾아 전복 출하 작업을 살펴보고, 미역과 다시마 등 해조류를 먹이로 하는 전복 양식 방법 등에 대해 설명했다. 지난해 완도군의 전복 생산량은 2만 1백…
완도 주용규 기자2026. 01.29[나이스데이]영암군이 고향사랑기부제 시행 3년 만에 누적 모금액 62억7,000만원을 달성하며 전국적인 주목을 받고 있다. 영암군은 제도 시행 첫해인 2023년 12억원, 이듬해인 2024년 18억원을 모금한 데 이어, 지난해에는 32억원을 모금하며 2년간의 누적액을 뛰어넘는 성과를 거뒀다. 이 같은 성과의 배경에는 영암군민의 삶에 직접 닿는 공감형 기금사업이 있었다. 영암군은 ▲소아청소년과 운영 ▲엉덩이 기억 상실증 회복 프로그램 ▲어르신 영화 관람 ▲기찬 이동 빨래방 등 총 12개 기금사업을 운영하며 기부자의 공감을 이끌어…
영암 이영욱 기자2026. 01.29[나이스데이]완도군은 완도해양치유센터와 송정역을 경유하는 시외버스 노선을 1월 31일부터 주말에는 왕복 2회로 확대 운행한다. 시외버스 노선은 기존 송정역 경유 시간을 KTX 운행 시간과 여유 있게 연계할 수 있도록 조정해 철도 이용객들의 환승 편의를 높이고, 주말에 한 해 운행되는 추가 운행 1회는 해남역을 경유함으로써 교통 접근성을 강화할 수 있게 됐다. 특히 그동안 평일과 주말 구분 없이 하루 왕복 1회만 운영됐으나 주말 추가 운행을 통해 해양치유 이용객과 지역 주민들의 이동 편의가 크게 개선될 것으로 기대된다. 운행 시…
완도 주용규 기자2026. 01.29