[나이스데이] 경찰이 지난 13일부터 전국 8개 관서를 대상으로 4조3교대·5조3교대 근무를 시범운영하고 있다. 결과에 따라 단계적으로 확대하겠다는 방침인데, 정작 지역 관서는 인력 부족으로 일선 경찰관들이 더 희망하는 4조2교대조차 시행하지 못한다는 지적이 나온다. 15일 국회 행정안전위원회 소속 이해식 더불어민주당 의원실이 경찰청으로부터 받은 자료에 따르면, 지난 8월 기준으로 전국 지구대·파출소 수는 2046개다. 근무형태 별로 보면 ▲3조1교대 25개 ▲3조2교대 242개 ▲4조2교대 1213개 ▲5조3교대(심야) 83…
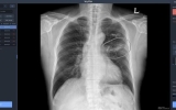
전국 뉴시스2025. 10.15[나이스데이] 농어촌 등 의료취약지역의 응급실은 영상의학과 전문의가 부족해 당직의 1명당 판독해야하는 평균 영상판독가 증가하는 것으로 나타났다. 이에 영상 판독을 돕는 의료 인공지능(AI)이 의료진의 부담을 덜어줄 수 있을 것으로 기대된다. 15일 국회 보건복지위원회 소속 더불어민주당 소병훈 의원이 국립중앙의료원으로부터 제출받은 자료에 따르면 지난해 취약지 의료기관 37개소가 의뢰한 응급 영상판독 건수는 1만 3375건으로 2023년 1만 952건 대비 22.1%(2423건) 증가했다. 응급 영상판독을 12시간씩 1명의…
전국 뉴시스2025. 10.15[나이스데이] 박성주 경찰청 국가수사본부장이 15일 캄보디아로 출국해 구금 중인 한국인 송환 문제와 현지 수사 공조 방안을 협의한다. 15일 경찰에 따르면 박 본부장은 이날 오후 6시50분 인천공항에서 대한항공편으로 출국해 현지시간 오후 10시10분께 프놈펜에 도착할 예정이다. 이번 방문은 김진아 외교부 2차관이 단장으로 이끄는 정부합동대응팀 일원 자격으로 이뤄지며, 경찰청을 비롯해 국가정보원 등 관계기관이 함께 참여한다. 정부는 최근 캄보디아 내 한국인 대상 범죄 급증에 따라 현지 정부와 긴급 접촉해 양국 경찰을…
사회 뉴시스2025. 10.15[나이스데이] 12·3 비상계엄 관련 내란·외환 혐의를 수사하는 내란 특검이 15일 구속 수감 중인 윤석열 전 대통령에 대한 체포영장 집행에 나서자 윤 전 대통령이 소환에 응했다. 이에 따라 북한 평양에 무인기를 투입한 외환 의혹 수사가 본격화할 전망이다. 법조계에 따르면 윤 전 대통령은 이날 내란 특검팀(특별검사 조은석) 조사를 받기 위해 서울구치소에서 출발해 오전 8시30분께 서울고검 청사에 도착했다. 윤 전 대통령은 사복으로 환복해 출석한 것으로 알려졌다. 특검은 지난달 24일 처음으로 윤 전 대통령 측에 외환 혐…
탑뉴스 뉴시스2025. 10.15[나이스데이] 임광현 국세청장은 15일 정부의 부동산 대책과 관련해 "시장과열이 나타나는 지역의 불법·편법적인 자금 흐름을 철저히 차단해 가수요와 투기수요를 진정시키겠다"고 밝혔다. 임광현 청장은 이날 정부서울청사에서 열린 부동산 대책 관계부처 합동브리핑에서 모두발언을 통해 "최근 서울·수도권 등 일부 지역에서 시세차익을 노린 투기성 거래와 부의 이전을 위한 편법적인 자금조달이 꾸준히 확인되고 있다"며 이같이 말했다. 임 청장은 "대출규제 확대에 따른 현금부자들과 외국인들의 가수요 차단을 위해 강남4구를 포함한 한강벨트 …
탑뉴스 뉴시스2025. 10.15[나이스데이] 공정거래위원회가 팝업창 등을 통해 와우멤버십 가격 인상에 동의하도록 소비자를 유인한 쿠팡을 제재했다. 공정위는 15일 전자상거래법을 위반한 쿠팡에 과태료 250만원을 부과했다고 밝혔다. 쿠팡은 지난해 4월 와우멤버십 가격을 4990원에서 7890원으로 인상한다는 사실을 고지한 뒤 기존에 와우멤버십을 이용 중인 소비자들에게 동의 여부를 확인했다. 쿠팡은 쇼핑몰 앱의 팝업창과 상품구매 대금 결제를 위해 제공되는 결제버튼을 활용해 가격 인상 동의 여부를 확인했는데, 공정위는 쿠팡이 기만적인 방법으로 소비자…
탑뉴스 뉴시스2025. 10.15[나이스데이] 국립국제교육원이 운영하는 정부 초청 외국인 장학사업(GKS, Global Korea Scholarship) 졸업생 10명 중 8명은 소재 파악이 불가능한 것으로 나타났다. 매년 GKS 사업에 1000억원의 예산을 투자하지만 졸업생 관리 부실과 수도권 편중이 개선되지 않고 있다. 15일 국회 교육위원회 소속 김준혁 더불어민주당 의원실이 국제교육원으로부터 제출받은 자료에 따르면, 지난해 실시된 'GKS 동문 정보 현행화 설문조사' 결과 전체 졸업생(1만269명)의 84.2%(8649명)는 연락이 닿지 않고 있는 것으…
정부 뉴시스2025. 10.15[나이스데이] 한국 남자 축구 국가대표팀이 '남미 복병' 파라과이를 상대로 완승을 거뒀다. 홍명보 감독이 지휘하는 한국은 14일 오후 8시 서울월드컵경기장에서 열린 파라과이와의 10월 A매치 친선경기에서 전반 15분에 터진 엄지성(스완지시티)의 선제골과 후반 30분에 나온 오현규(헹크)의 추가골에 힘입어 2-0으로 승리했다. 이로써 FIFA 랭킹 23위인 한국은 10월 A매치를 1승1패로 마무리했다. 지난 10일 같은 장소에서 열린 'FIFA 랭킹 6위' 브라질에는 0-5 대패를 당했으나, 이날 웃으면서 분위기를 반…
스포츠 뉴시스2025. 10.15[나이스데이] 프로야구 삼성 라이온즈가 투타 완벽한 조합으로 가을야구 일정을 연장했다. 삼성과 한화 이글스는 우승을 향한 마지막 관문, 한국시리즈로 가는 길목에서 맞붙는다. 삼성은 지난 14일 대구 삼성라이온즈파크에서 열린 SSG 랜더스와의 2025 신한 쏠뱅크 KBO 포스트시즌 준플레이오프(준PO·5전3선승제) 4차전에서 5-2 승리를 거뒀다. 와일드카드(WC) 결정전과 준PO를 모두 거쳐 NC 다이노스와 SSG를 차례로 누른 삼성은 이제 플레이오프(PO·5전3선승제) 무대로 향한다. 삼성과 한화의 PO 1차전은 …
스포츠 뉴시스2025. 10.15[나이스데이] "남들이 쉽게 경험할 수 없는 일들을 많이 했다고 생각해요. 그게 저의 장점이에요." 가수 배진영(25)의 지난 8년은 다사다난하고 역동적이었다. 엠넷 오디션 프로그램 '프로듀스 101' 시즌 2에서 최종 10위를 차지해 데뷔에 성공했고, 그룹 워너원 멤버로 큰 사랑을 받았다. 워너원 활동을 마친 뒤 2019년 그룹 'CIX'로 재데뷔한 그는 리드보컬로 활약하다가 지난해 8월 팀에서 탈퇴했다. 그리고 자신의 새로운 시작을 알릴 첫 번째 미니 앨범 '스틸 영'(STILL YOUNG)으로 팬들 곁으로 돌아왔다. …
인터뷰 뉴시스2025. 10.15[나이스데이] '네오 솔의 대부'로 통하는 미국 R&B 가수 디앤젤로(51·D'Angelo·디안젤로)가 별세했다. 14일(현지시간) 미국 일간 뉴욕타임스(NYT)에 따르면, 디앤젤로는 암 투병 끝에 눈을 감았다. 에리카 바두, 맥스웰, 라흐산패터슨 등과 함께 네오 솔 장르를 부흥시킨 주인공이다. 부드럽게 유연한 느낌으로 소화하는 감성 솔 장르가 네오 솔이다. 고인은 1995년 내놓은 데뷔앨범 '브라운 슈거(Brown Sugar·브라운 슈가)'부터 R&B 뿌리를 톺아봤다는 평을 들은 입지전적인 인물이다. 미국의 …
연예 뉴시스2025. 10.15[나이스데이] 신영균예술문화재단(이사장 안성기)이 주최하는 '제15회 아름다운예술인상' 심사위원회는 올해 영화예술인상 수상자로 박찬욱 감독을 선정했다고 14일 밝혔다. 박 감독은 1992년 '달은… 해가 꾸는 꿈'으로 영화 연출을 시작한 후 '공동경비구역 JSA' '올드보이' '친절한 금자씨' '헤어질 결심' 등 20여 작품을 통해 한국영화의 국제화에 크게 기여했다는 평을 들었다. 특히 올해 상영된 '어쩔수가없다'는 국내외 영화제와 관객들에게 주목 받았다. 이와 함께 연극예술인상에 배우 곽지숙, 공로예술인상에 …
연예 뉴시스2025. 10.15[나이스데이]신안군은 2025년 하반기부터 고향사랑기부제 답례품을 23개 품목 더 늘려 기부자들에게 더 넓은 선택의 폭을 제공한다. 이는 지역경제 활성화를 통한 민생경제의 활력을 높이는 데 기여할 것으로 기대된다. 고향사랑기부제란? 지역 발전의 불균형을 해소하고 지역 주민의 복리 증진, 나아가 지역경제 활성화를 목적으로 한다. 개인이 자신의 주소지를 제외한 다른 시·도나 시·군·구 등 지방자치단체에 연간 2,000만 원 한도 내에서 기부금을 내는 방식이다. 기부자는 10만 원까지 전액 세액공제를 받으며, 10만 원 초과…
신안 박정래 기자2025. 10.15[나이스데이]광주시 대중교통비 지원 정책인 ‘광주G-패스’가 성공적으로 안착하고 있다. 지난 1월 정책 시행 이후 시민들의 대중교통 이용이 증가하고, 교통비 부담은 감소한 것으로 확인됐다. 광주광역시(시장 강기정)는 올해 1월부터 8월까지 교통카드를 사용해 대중교통을 이용한 현황을 분석한 결과, 8개월 동안 대중교통 이용건수는 총 8104만여건(환승 포함)이었다고 밝혔다. 이는 전년 같은 기간 7960만여건보다 144만여건, 1.8% 증가한 수치다. 월별로 보면 1월 908만여건, 2월 905만여건, 3월 1075만여건, 4월 …
광주 이자형 기자2025. 10.15[나이스데이]광주광역시는 세계양궁선수권대회, 광주디자인비엔날레 등 대규모 국제행사 기간 동안 환경오염이 우려되는 사업장 249개소를 집중 점검한 결과, 환경 관련 법규를 위반한 15개 사업장을 적발했다. 이번 단속은 주요 국제행사의 성공적 개최를 뒷받침하기 위한 것으로 악취, 불법폐기물, 수질오염물질 무단배출 등 시민 건강과 쾌적한 생활환경을 위협하는 오염행위를 예방하고자 추진됐다. 주요 단속 사항은 ▲공공수역 환경오염행위 ▲무허가(미신고) 배출시설 설치운영 여부 ▲배출시설 및 방지시설 부적정 운영 여부 ▲폐기물 불법 투기 등이…
광주 이자형 기자2025. 10.15광주광역시의회, 대학생 모의의회 개원식 개최
국회 사회적 대화 어떻게 제도화하나…"대표성·책무성 등 높여야"
민주 '최민희 사과'에 "당이 판단할 문제 아냐…상임위원장 사퇴 전제 안 해"
與 "이제 개혁의 시간…'검찰·사법·언론개혁' 공론화 과정 본격화할 것"
민주당 41% 국민의힘 26%…민주 2%p↓ 국힘 1%p↑[한국갤럽]
장애 전산망 복구율 90% '코앞'…정부, 2차 예비비 투입
이 대통령 "국제질서 변곡점…협력과 연대만이 미래로 이끄는 답"
與 "대미투자 특별법·비준 등 추진…이제 국회의 시간"
국힘 "李정권, 관세협상 또 자화자찬…합의문서 투명하게 공개해야"
소중한 군민을 사랑 꾸러미로 응원하는 “화순읍교회”
소중한 군민을 사랑 꾸러미로 응원하는 “화순읍교회”
㈜일성기업 이순옥 대표, 나주시에 고향사랑기부금 500만 원 기탁
나주시, 제4회 태극기거리 축제…시민, 학생 400여 명 참여
국향 속 나비의 날갯짓…함평군, 생태축제의 새 장 열다
광주광역시의회, 대학생 모의의회 개원식 개최
보성군, 농산물안전분석실 구축 공모사업 선정! 총사업비 10억 원 확보
보성군, ‘2025 재난대응 안전한국훈련’ 실전처럼 실시
보성군, 제3회 대한민국 차나무분재대전 및 2025 전라남도 우수분재대전 성황리 마무리
함평군, 가을 행락철 교통안전 집중 캠페인 실시
광주광역시 남구, ‘봉선동 먹자골목 간판’ 새롭게 바꾼다
































