|
3주 이상 기침이 지속되고 기침할 때 피가 섞인 가래가 나오거나 이유 없이 체중이 줄고, 숨이 가빠지는 등 증상이 동반될 경우에는 폐암 가능성을 의심해 봐야 한다.
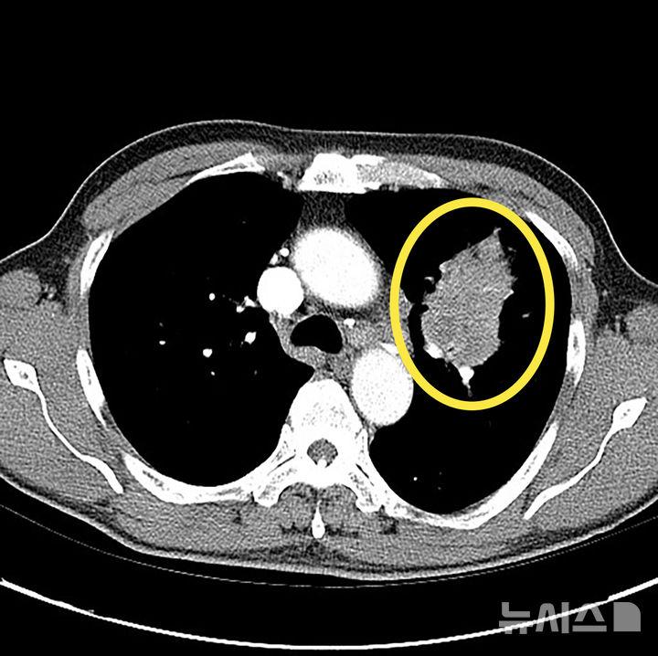
15일 의료계에 따르면 폐암은 폐에 비정상적인 암세포가 무절제하게 증식해 종괴(덩어리)를 형성하고 인체에 해를 미치는 것을 말한다. 폐암은 폐에 국한돼 발견되기도 하지만 진행될 경우 반대쪽 폐뿐 아니라 임파선이나 혈액을 통하여 뼈, 간, 부신, 신장, 뇌, 척수 등 온몸으로 전이될 수 있다.
폐암은 국내 암 사망률 1위 질병이다. 국가암등록통계(2018~2022)에 따르면 폐암 환자는 갑상선암, 대장암에 이어 세 번째로 많았다. 반면, 2023년 기준 1만3698명이 폐암으로 사망해 국내 암 사망률 1위를 차지했다. 하루 평균 37.5명이 페암으로 사망하는 셈이다.
폐암은 초기 증상이 거의 없기 때문에 정기적인 검진이 무엇보다 중요하다. 특히 흡연자이거나 가족력이 있는 경우, 또는 미세 먼지와 조리 등 환경 요인에 지속적으로 노출되는 사람은 반드시 정기검진을 해야한다. 실제 국가암등록 통계에 따르면 폐암의 5년 상대 생존율은 41% 정도지만, 전이가 없는 조기 폐암일 경우 80%까지 올라간다. 전체 암 환자의 5년 생존률이 약 70% 수준인 점과 비교하면 턱없이 낮은 수치지만 조기 별견시 완치를 기대할 수 있다는 것을 뜻한다.
폐암의 가장 대표적인 위험 인자는 흡연이다. 실제 전체 폐암 환자의 70%는 담배와 밀접하게 관련이 있다. 흡연량이 많고, 기간이 길수록 폐암 위험도 그만큼 올라간다. 흡연자는 비흡연자에 비해 폐암에 걸릴 확률이 20배 가까이 높다는 보고도 있다.
하지만, 최근에는 비흡연자에게서도 폐암 발병이 증가하고 있어 증상이 없고 고위험군이 아니더라도 관심을 기울일 필요가 있다. 간접흡연이나 요리시 발생하는 연기, 라돈·석면 등 발암물질에 노출되는 직업 종사자나 미세먼지 노출시에도 폐암에 걸릴 수 있다. 저선량 흉부 CT(컴퓨터단층촬영)는 폐암 조기 진단에 매우 효과적인 수단으로 만성 폐쇄성 폐질환(CODP)이나 다른 암 병력이 있는 등 고위험군에서는 정기적인 검사가 권장된다. 저선량 CT는 환자에게 노출되는 방사선량을 6분의 1 수준으로 최소화한 장비다.
최천웅 강동경희대학교병원 호흡기알레르기내과 교수는 "폐암은 무서운 병이지만, 올바른 정보와 치료, 그리고 조기 검진만 있다면 분명히 극복 가능한 질환"이라며 "가장 좋은 치료는 조기 발견이며, 그 시작은 정기적인 검진"이라고 말했다.
금연을 하더라도 이전에 흡연으로 인한 폐 손상과 암 발생 위험은 남아 있다. 일반적으로 금연 후 15년이 지나야 비흡연자와 비슷한 수준으로 위험도가 낮아지므로, 처음부터 흡연하지 않는 것이 가장 안전하다.
폐암이 조기 발견이 어려운 이유는 폐에는 감각 신경이 없어 통증을 잘 느끼지 않는 장기이기 때문이다. 실제 조기에 폐암이 진단되는 환자는 전체의 5~15%에 불과하다. 폐암이 진행되면 기침, 피 섞인 가래(객혈), 흉통, 호흡곤란, 체중감소 등이 나타날 수 있다. 하지만 이런 증상도 암이 꽤 진행된 후에야 나타나는 경우가 많아 증상만으로는 조기 진단이 어렵다. 증상이 나타났다면 이미 폐암이 어느정도 진행된 경우가 많다.
따라서 고위험군에서는 저선량 CT를 이용한 정기 검진이 매우 중요하다. 결절이 발견된다고 다 암으로 진행되는 것은 아니다. 결절은 암일 수도 있지만 염증, 섬유화, 림프절 비대, 과거 결핵 흔적 등 다양한 원인으로 생길 수 있다. 특히 폐암 고위험군이라면 호흡기알레르기내과 전문의에게 진료를 받아 정확한 평가를 받는 것이 필요하다.
폐암으로 진단되더라도 꼭 폐 전체를 잘라내야 하는 것은 아니다. 폐는 좌측 2개, 우측 3개의 엽으로 나뉘며 일반적으로는 병이 생긴 엽 하나만 절제하는 폐엽절제술을 시행한다. 병변이 작으면 구역절제술이나 쐐기절제술처럼 더 적은 범위만 절제하는 수술도 가능하다. 환자의 상태, 병기, 폐 기능 등을 종합적으로 고려해 가장 적합한 수술법을 결정하게 된다.
최천웅 교수는 "폐암의 가장 중요한 예방법은 금연으로, 흡연뿐 아니라 미세 먼지, 조리 시 발생하는 유해물질, 가족력도 폐암 발생에 영향을 줄 수 있어 생활 습관과 환경 관리가 필요하다"며 "여기에 정기 검진을 병행하는 것이 폐암 예방의 핵심"이라고 말했다.
일반적으로 폐 기능이 70% 정도만 남아도 일상생활에는 큰 지장이 없다. 또 수술 후에는 남은 폐가 보상 작용을 하며 시간이 지나면서 호흡은 점차 회복된다.
뉴시스
2026.04.04 (토) 18:50












